Skip to main content

Featured

Comparison Word Problems 4Th Grade

Comparison Word Problems 4Th Grade . Students may start solving comparison word problems as early as first grade. How many more blue marbles than red marbles does connie have? 4th Grade Word Problems Addition And Subtraction kidsworksheetfun from kidsworksheetfun.com 60 + 4 = 64 bags. What would that number be? We know that there are 6 slices in each bag.

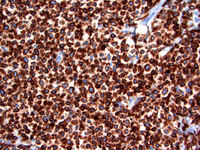
Grade 3B Follicular Lymphoma


Grade 3B Follicular Lymphoma. 9 m 2 grade 3a centrocytes present grade 3b solid sheets of centroblasts It is further classified into grade 3a and grade 3b depending on the bernard cell counting system and percentage of centroblasts.

Follicular lymphoma, grade 3B 7
Follicular lymphoma, grade 3B 7 from imagebank.hematology.org

We conclude that follicular lymphoma grade 3a is not clinically different from grade 1 and 2 disease. 9 m 2 grade 3a centrocytes present grade 3b solid sheets of centroblasts Cd19, cd20, cd22 and cd79a.

Stage 3 Lymphoma Symptoms Vary Based On The Location Of The Tumors.


3b is usually treated different because it is very fast growing. These recommendations are not supported by randomized evidence. Your doctor might call this ‘grade 1 to 2’ follicular lymphoma.

It Is Further Classified Into Grade 3A And 3B Depending On Percentage Of Centroblasts.


There are ways to treat follicular lymphoma, but the condition often comes back. Grading based on percent of large cells grade 1, under 25%; Sheets of centroblasts seen in this case support designation as grade 3b.

Basically The Lymphoma Grade Shows How Fast The Cancer Cells Are Growing And How Likely They Are To Spread.


I generally think of follicular lymphoma grade 3b as a lymphoma that really acts and should be treated as an aggressive. We conclude that follicular lymphoma grade 3a is not clinically different from grade 1 and 2 disease. Grading typically applies to cases of follicular lymphoma.

The Grade Does Not Affect The Likely Outcome Of Treatment.


Centroblasts exhibit multiple peripheral nucleoli. Horn h, schmelter c, leich e, salaverria i, katzenberger t, ott mm. The grade of your follicular lymphoma is how your lymphoma cells look under a microscope.

Follicular Lymphoma Grade 3B Is A Distinct Neoplasm According To Cytogenetic And Immunohistochemical Profiles.


Based on highest grade area present if two discrete patterns present, lymphoma may be considered composite; Hsi ed, mirza i, lozanski g, et al. It is further classified into grade 3a and grade 3b depending on the bernard cell counting system and percentage of centroblasts.


Comments

Popular Posts