Featured
- Get link
- X
- Other Apps
Oligodendroglioma Grade 3 Survival Stories
Oligodendroglioma Grade 3 Survival Stories. These genes normally regulate the rate at which the cell divides (if it. I am intrested in people who are deal with the same brain cancer.

They can be present for years before causing symptoms. However, when the tert mutation is found on its own in grade 2 and 3. An anaplastic oligodendroglioma grows quickly and spreads into nearby tissues.
Our Findings In This U.s.
These genes normally regulate the rate at which the cell divides (if it. Tumors were removed surgically followed by radiation treatment at 60 gy. Oligoaway is an information and story sharing community for oligodendroglioma sufferers and their support teams.
It Was Partially Surgically Removed And Is A Grade 3 Oligodendroglioma.
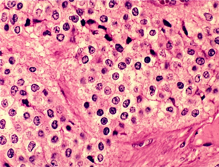
An oligodendroglioma is a type of brain tumour. Oligodendrogliomas develop from a type of glial cell called an oligodendrocyte. Recently, 1p/19q codeletion was independently validated as a favorable prognostic factor in low grade glioma.{ref35.
In March Of 2015, Another Tumor (Migrating From The Original) Started Growing.
As of the 2016 who classification of cns tumors to be designated an oligodendroglioma a tumor must be shown to have both idh mutation and 1p19q codeletion. These benign tumors grow slowly. 60 gray) and now he is under chemo (temodal).
If You Want To Understand Your Prognosis, Talk To Your Doctor.
Cancer fighters® community, where anyone on the cancer journey can find truly amazing connections and support from people who know what you’re going through. The statistics that i read after his second diagnosis of a grade 4 glial neoplasm looked not as hot as his original tumor. My husband had surgery (about 90 % resection) in october 03 (oligo grade ii/iii) and than he had radiation therapy (36 x , tot.
And Predicts Greater Benefit From Chemotherapy And Radiotherapy And Longer Survival, Particularly In Grade 2 And 3 Gliomas.
An anaplastic oligodendroglioma grows quickly and spreads into nearby tissues. However, when the tert mutation is found on its own in grade 2 and 3. Grade 3 tumors appear to have abnormalities on chromosomes 9 or 10, along with unusual amounts of growth factors and proteins, which are thought to contribute to the.
Comments
Post a Comment